
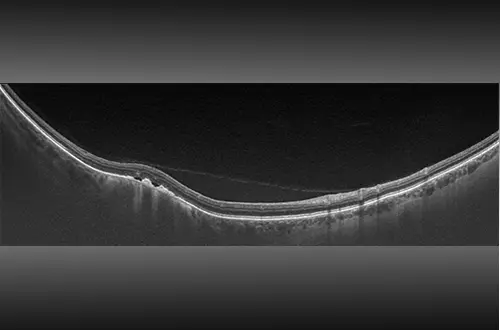
Swept-Source OCT
Die Swept-Source erleichtert die Untersuchung der Netzhaut vom Glaskörper über die choroidal-sklerale Schnittstelle. Die Kombination aus SS-OCT und UWF erzeugt in weniger als ½ Sekunde ein Optomap-Bild mit einem Winkel von 200° und ermöglicht das geführte OCT-Scannen über die Netzhaut und in die ferne Peripherie. Das gezeigte Bild ist ein 23-mm-Zeilenscan.